Coil Embolization To Pseudoaneurysm Of Splenic Artery . The purpose of this article is to define the role of splenic embolization in trauma patients and in patients presenting. ( d) final angiographic control after coil embolization demonstrates splenic artery recanalization distal to coil. This article reviews the clinical features and management of splenic artery aneurysms and pseudoaneurysms. Splenic artery pseudoaneurysms are even more rare than true aneurysms. percutaneous embolization appears to be the best method of treatment of large splenic artery aneurysms. distal artery embolization and embolization of the pseudoaneurysm. if there is a single pseudoaneurysm, coil/plug embolization of the pseudoaneurysm can be performed with embolization distal (outflow; embolization is a valuable alternative to surgical management in splenic artery psa.
from www.jvscit.org
The purpose of this article is to define the role of splenic embolization in trauma patients and in patients presenting. distal artery embolization and embolization of the pseudoaneurysm. percutaneous embolization appears to be the best method of treatment of large splenic artery aneurysms. This article reviews the clinical features and management of splenic artery aneurysms and pseudoaneurysms. embolization is a valuable alternative to surgical management in splenic artery psa. if there is a single pseudoaneurysm, coil/plug embolization of the pseudoaneurysm can be performed with embolization distal (outflow; Splenic artery pseudoaneurysms are even more rare than true aneurysms. ( d) final angiographic control after coil embolization demonstrates splenic artery recanalization distal to coil.
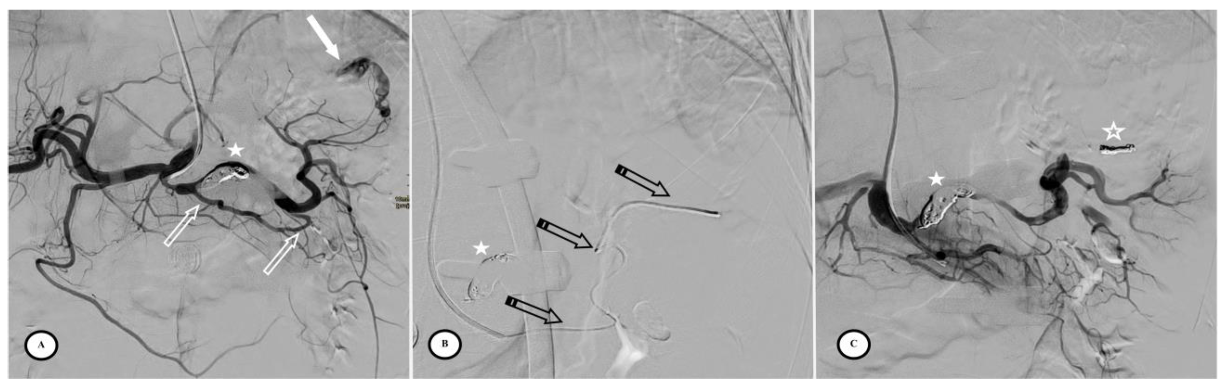
Endovascular coil embolization for an anomalous splenic artery aneurysm
Coil Embolization To Pseudoaneurysm Of Splenic Artery ( d) final angiographic control after coil embolization demonstrates splenic artery recanalization distal to coil. This article reviews the clinical features and management of splenic artery aneurysms and pseudoaneurysms. distal artery embolization and embolization of the pseudoaneurysm. The purpose of this article is to define the role of splenic embolization in trauma patients and in patients presenting. embolization is a valuable alternative to surgical management in splenic artery psa. if there is a single pseudoaneurysm, coil/plug embolization of the pseudoaneurysm can be performed with embolization distal (outflow; ( d) final angiographic control after coil embolization demonstrates splenic artery recanalization distal to coil. Splenic artery pseudoaneurysms are even more rare than true aneurysms. percutaneous embolization appears to be the best method of treatment of large splenic artery aneurysms.
From www.mdpi.com
JPM Free FullText Preventive Proximal Splenic Artery Embolization Coil Embolization To Pseudoaneurysm Of Splenic Artery distal artery embolization and embolization of the pseudoaneurysm. The purpose of this article is to define the role of splenic embolization in trauma patients and in patients presenting. ( d) final angiographic control after coil embolization demonstrates splenic artery recanalization distal to coil. Splenic artery pseudoaneurysms are even more rare than true aneurysms. This article reviews the clinical. Coil Embolization To Pseudoaneurysm Of Splenic Artery.
From www.researchgate.net
Angiography after selective catheterization of the splenic artery (a Coil Embolization To Pseudoaneurysm Of Splenic Artery distal artery embolization and embolization of the pseudoaneurysm. if there is a single pseudoaneurysm, coil/plug embolization of the pseudoaneurysm can be performed with embolization distal (outflow; embolization is a valuable alternative to surgical management in splenic artery psa. Splenic artery pseudoaneurysms are even more rare than true aneurysms. percutaneous embolization appears to be the best method. Coil Embolization To Pseudoaneurysm Of Splenic Artery.
From www.youtube.com
Transradial Embolization of a Large Splenic Artery Pseudoaneurysm YouTube Coil Embolization To Pseudoaneurysm Of Splenic Artery The purpose of this article is to define the role of splenic embolization in trauma patients and in patients presenting. This article reviews the clinical features and management of splenic artery aneurysms and pseudoaneurysms. embolization is a valuable alternative to surgical management in splenic artery psa. distal artery embolization and embolization of the pseudoaneurysm. percutaneous embolization appears. Coil Embolization To Pseudoaneurysm Of Splenic Artery.
From www.jvascsurg.org
Feasibility of endovascular repair of splenic artery aneurysms using Coil Embolization To Pseudoaneurysm Of Splenic Artery percutaneous embolization appears to be the best method of treatment of large splenic artery aneurysms. embolization is a valuable alternative to surgical management in splenic artery psa. This article reviews the clinical features and management of splenic artery aneurysms and pseudoaneurysms. if there is a single pseudoaneurysm, coil/plug embolization of the pseudoaneurysm can be performed with embolization. Coil Embolization To Pseudoaneurysm Of Splenic Artery.
From vascular-endovascular-therapy.imedpub.com
StentAssisted Detachable Coil Embolization of Two Splenic Artery Coil Embolization To Pseudoaneurysm Of Splenic Artery distal artery embolization and embolization of the pseudoaneurysm. This article reviews the clinical features and management of splenic artery aneurysms and pseudoaneurysms. Splenic artery pseudoaneurysms are even more rare than true aneurysms. embolization is a valuable alternative to surgical management in splenic artery psa. percutaneous embolization appears to be the best method of treatment of large splenic. Coil Embolization To Pseudoaneurysm Of Splenic Artery.
From www.researchgate.net
Splenic arterial embolization in a 48yearold woman with idiopathic Coil Embolization To Pseudoaneurysm Of Splenic Artery The purpose of this article is to define the role of splenic embolization in trauma patients and in patients presenting. This article reviews the clinical features and management of splenic artery aneurysms and pseudoaneurysms. Splenic artery pseudoaneurysms are even more rare than true aneurysms. percutaneous embolization appears to be the best method of treatment of large splenic artery aneurysms.. Coil Embolization To Pseudoaneurysm Of Splenic Artery.
From www.ajronline.org
Coil Embolization of a WideNeck Splenic Artery Aneurysm Using a Coil Embolization To Pseudoaneurysm Of Splenic Artery The purpose of this article is to define the role of splenic embolization in trauma patients and in patients presenting. percutaneous embolization appears to be the best method of treatment of large splenic artery aneurysms. This article reviews the clinical features and management of splenic artery aneurysms and pseudoaneurysms. ( d) final angiographic control after coil embolization demonstrates. Coil Embolization To Pseudoaneurysm Of Splenic Artery.
From www.researchgate.net
58Yearold man with a grade IV blunt splenic injury underwent proximal Coil Embolization To Pseudoaneurysm Of Splenic Artery ( d) final angiographic control after coil embolization demonstrates splenic artery recanalization distal to coil. The purpose of this article is to define the role of splenic embolization in trauma patients and in patients presenting. percutaneous embolization appears to be the best method of treatment of large splenic artery aneurysms. embolization is a valuable alternative to surgical. Coil Embolization To Pseudoaneurysm Of Splenic Artery.
From www.statpearls.com
Spleen Imaging Article Coil Embolization To Pseudoaneurysm Of Splenic Artery distal artery embolization and embolization of the pseudoaneurysm. embolization is a valuable alternative to surgical management in splenic artery psa. if there is a single pseudoaneurysm, coil/plug embolization of the pseudoaneurysm can be performed with embolization distal (outflow; percutaneous embolization appears to be the best method of treatment of large splenic artery aneurysms. The purpose of. Coil Embolization To Pseudoaneurysm Of Splenic Artery.
From www.researchgate.net
Coilembolization of total splenic artery from the origin to the Coil Embolization To Pseudoaneurysm Of Splenic Artery percutaneous embolization appears to be the best method of treatment of large splenic artery aneurysms. distal artery embolization and embolization of the pseudoaneurysm. ( d) final angiographic control after coil embolization demonstrates splenic artery recanalization distal to coil. embolization is a valuable alternative to surgical management in splenic artery psa. if there is a single. Coil Embolization To Pseudoaneurysm Of Splenic Artery.
From www.researchgate.net
Selective angiographic images during the splenic artery embolization Coil Embolization To Pseudoaneurysm Of Splenic Artery Splenic artery pseudoaneurysms are even more rare than true aneurysms. embolization is a valuable alternative to surgical management in splenic artery psa. The purpose of this article is to define the role of splenic embolization in trauma patients and in patients presenting. distal artery embolization and embolization of the pseudoaneurysm. percutaneous embolization appears to be the best. Coil Embolization To Pseudoaneurysm Of Splenic Artery.
From www.researchgate.net
52yearold male of grade IV splenic injury underwent combined Coil Embolization To Pseudoaneurysm Of Splenic Artery This article reviews the clinical features and management of splenic artery aneurysms and pseudoaneurysms. if there is a single pseudoaneurysm, coil/plug embolization of the pseudoaneurysm can be performed with embolization distal (outflow; distal artery embolization and embolization of the pseudoaneurysm. The purpose of this article is to define the role of splenic embolization in trauma patients and in. Coil Embolization To Pseudoaneurysm Of Splenic Artery.
From www.jvscit.org
Endovascular coil embolization for an anomalous splenic artery aneurysm Coil Embolization To Pseudoaneurysm Of Splenic Artery This article reviews the clinical features and management of splenic artery aneurysms and pseudoaneurysms. if there is a single pseudoaneurysm, coil/plug embolization of the pseudoaneurysm can be performed with embolization distal (outflow; embolization is a valuable alternative to surgical management in splenic artery psa. The purpose of this article is to define the role of splenic embolization in. Coil Embolization To Pseudoaneurysm Of Splenic Artery.
From www.researchgate.net
Coilembolization of total splenic artery from the origin to the Coil Embolization To Pseudoaneurysm Of Splenic Artery embolization is a valuable alternative to surgical management in splenic artery psa. percutaneous embolization appears to be the best method of treatment of large splenic artery aneurysms. Splenic artery pseudoaneurysms are even more rare than true aneurysms. ( d) final angiographic control after coil embolization demonstrates splenic artery recanalization distal to coil. distal artery embolization and. Coil Embolization To Pseudoaneurysm Of Splenic Artery.
From www.incathlab.com
Video Complex splenic aneurysm embolization by stent assisted coiling Coil Embolization To Pseudoaneurysm Of Splenic Artery ( d) final angiographic control after coil embolization demonstrates splenic artery recanalization distal to coil. This article reviews the clinical features and management of splenic artery aneurysms and pseudoaneurysms. Splenic artery pseudoaneurysms are even more rare than true aneurysms. embolization is a valuable alternative to surgical management in splenic artery psa. distal artery embolization and embolization of. Coil Embolization To Pseudoaneurysm Of Splenic Artery.
From www.researchgate.net
Proximal splenic artery embolization with coil and plug,... Download Coil Embolization To Pseudoaneurysm Of Splenic Artery This article reviews the clinical features and management of splenic artery aneurysms and pseudoaneurysms. ( d) final angiographic control after coil embolization demonstrates splenic artery recanalization distal to coil. Splenic artery pseudoaneurysms are even more rare than true aneurysms. distal artery embolization and embolization of the pseudoaneurysm. if there is a single pseudoaneurysm, coil/plug embolization of the. Coil Embolization To Pseudoaneurysm Of Splenic Artery.
From www.ahajournals.org
Contrast Enhanced Ultrasonography for the Evaluation of Coil Coil Embolization To Pseudoaneurysm Of Splenic Artery ( d) final angiographic control after coil embolization demonstrates splenic artery recanalization distal to coil. distal artery embolization and embolization of the pseudoaneurysm. This article reviews the clinical features and management of splenic artery aneurysms and pseudoaneurysms. if there is a single pseudoaneurysm, coil/plug embolization of the pseudoaneurysm can be performed with embolization distal (outflow; embolization. Coil Embolization To Pseudoaneurysm Of Splenic Artery.
From www.researchgate.net
Splenic artery coil embolization and hepatic artery blood flow regained Coil Embolization To Pseudoaneurysm Of Splenic Artery if there is a single pseudoaneurysm, coil/plug embolization of the pseudoaneurysm can be performed with embolization distal (outflow; percutaneous embolization appears to be the best method of treatment of large splenic artery aneurysms. This article reviews the clinical features and management of splenic artery aneurysms and pseudoaneurysms. embolization is a valuable alternative to surgical management in splenic. Coil Embolization To Pseudoaneurysm Of Splenic Artery.